Request Appointment
Location
We are here to treat your dental emergency
(786) 292-3690
Our Office
20823 NW 2nd Ave
Miami
,
FL
33169
(786) 292-3690
Visit Us Online
Home
About Us
Our Office
Our Staff
New Patients
Smile Gallery
Testimonials
Dental Videos
Our Doctors
Rodlin Jerome, DDS
Belanne Estime-Jerome, DDS
Services
Dental Cleanings
Emergency Treatment
Extractions
Oral Exams
Pediatric Dentistry
Periodontal Treatment
Preventative Program
Root Canals
Dental Bridges
Dental Fillings
Dentures
Implant Dentistry
Cosmetic Dentistry
Ceramic Crowns
Teeth Whitening
Veneers
Digital Impressions
CBCT
Digital Radiography
Dental Health
Contact Us
Request Appointment
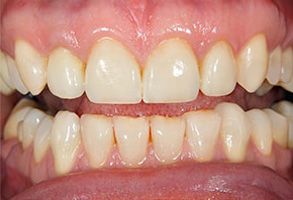
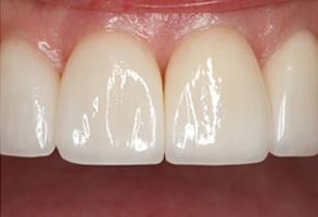
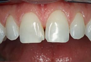
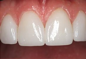
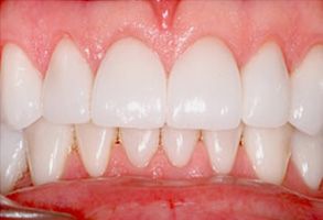
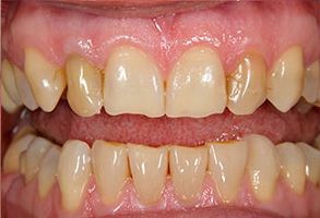
Smile Gallery
Before
After
Before
After
Before
After
Before
After
Before
After
Before
After
Before
After
Our Office
20823 NW 2nd Ave
Miami
,
FL
33169
(786) 292-3690
Visit Us Online
(786) 292-3690
© 2026 Smile With Confidence. All Rights Reserved. |
Accessibility Policy
Dentist Website Design